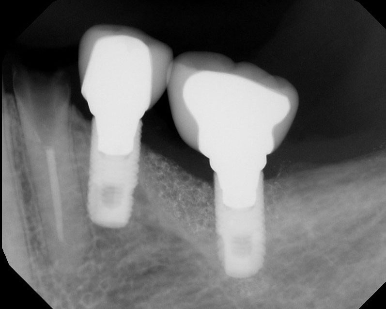
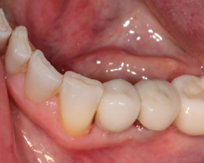
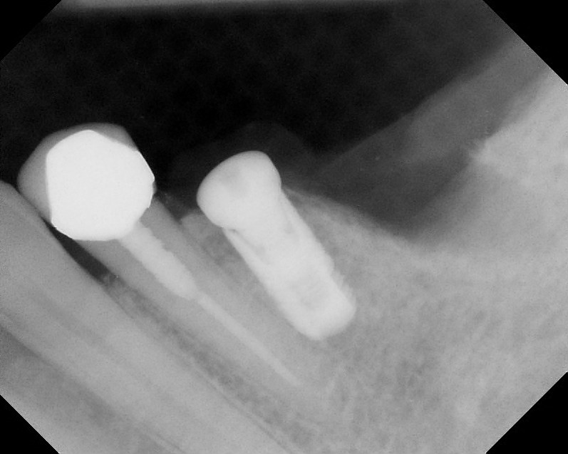
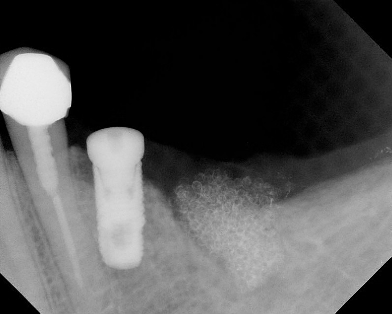
Implants

This treatment involves implanting artificial dental roots, and restoring dental crown without damaging the adjacent teeth.

featured image
featured image
featured image
featured image
featured image
featured image
featured image
featured image
featured image